Alles zum Thema Meningeom

|

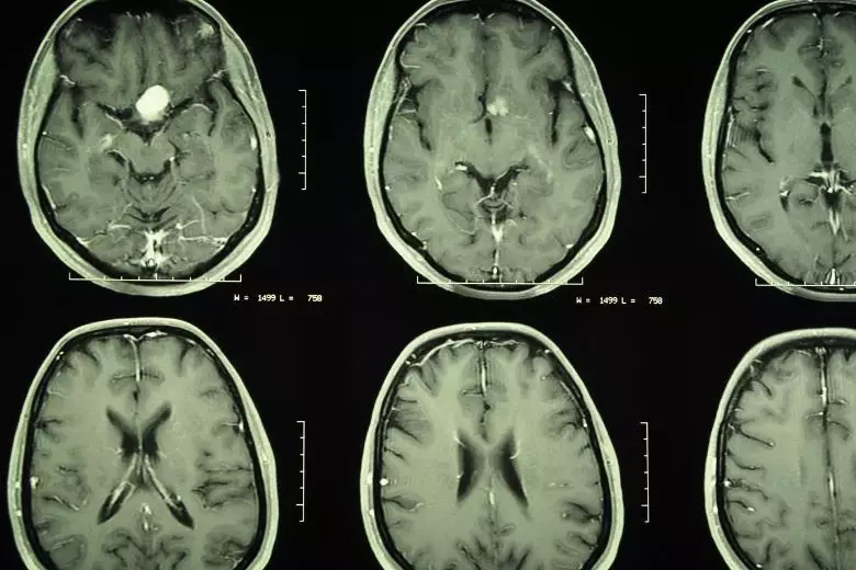
Meningeome sind meist gutartige Hirntumore, die direkt von den Hirnhäuten ausgehen. Sie können prinzipiell an jeder Stelle des Nervensystems auftreten. Die Symptome hängen von der Lage und Größe ab. Die Behandlung erfolgt meist mit einer Operation oder Strahlentherapie. 

Je nach Lage im Nervensystem kann das Meningeom durch unterschiedlichste Symptome auffallen. In vielen Fällen auch durch Zufall bei einer Bilduntersuchung aus einem anderen Grund. 

Krankenhäuser

Krankenhäuser für Meningeom

  • Charité - Universitätsmedizin Berlin
    Große Universitätsklinik
    Patienten Icon
    Patienten Meningeom
    282 Fälle in 4 Fachabteilungen
    Info Icon
    Details Meningeom
    Keine individuellen Informationen hinterlegt
  • Universitätsklinikum Heidelberg
    Große Universitätsklinik
    Patienten Icon
    Patienten Meningeom
    248 Fälle in 3 Fachabteilungen
    Info Icon
    Details Meningeom
    Keine individuellen Informationen hinterlegt
  • LMU Klinikum (Campus Großhadern)
    Große Universitätsklinik in München
    Patienten Icon
    Patienten Meningeom
    229 Fälle in 4 Fachabteilungen
    Info Icon
    Details Meningeom
    Keine individuellen Informationen hinterlegt
  • Universitätsklinikum Carl Gustav Carus Dresden an der Technischen Universität Dresden
    Große Universitätsklinik
    Patienten Icon
    Patienten Meningeom
    176 Fälle in 4 Fachabteilungen
    Info Icon
    Details Meningeom
    Keine individuellen Informationen hinterlegt
  • Universitätsklinikum Hamburg-Eppendorf
    Große Universitätsklinik
    Patienten Icon
    Patienten Meningeom
    166 Fälle in 3 Fachabteilungen
    Info Icon
    Details Meningeom
    Keine individuellen Informationen hinterlegt
  • Universitätsklinikum Freiburg
    Große Universitätsklinik
    Patienten Icon
    Patienten Meningeom
    166 Fälle in 5 Fachabteilungen
    Info Icon
    Details Meningeom
    Keine individuellen Informationen hinterlegt
Alle anzeigen

Links zu Kliniklisten

Passend zu Ihrer Suche könnten Sie auch diese Seiten interessieren

Links zu Behandlungsratgeber

Passend zu Ihrer Suche könnten Sie auch diese Seiten interessieren